Hội chứng Down được John Landon Down (một bác sĩ người Anh) mô tả lần đầu tiên vào năm 1886, về những người có tập hợp các bất thường bẩm sinh, trong đó nổi bật là người mắc bệnh sở hữu khuôn mặt đặc trưng, luôn ở trong tình trạng trì trệ tâm thần và gặp một số bất thường ở hệ tim mạch, tiêu hóa... dễ dẫn đến tử vong trong 5 năm đầu đời.
Nguyên nhân gây ra hội chứng Down
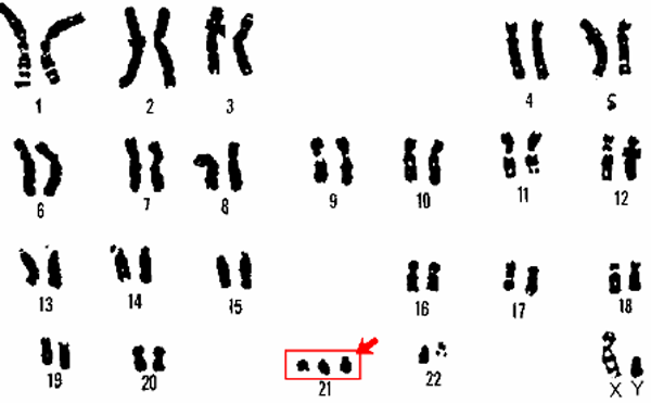
Chúng ta biết rằng, bình thường, con người có 46 nhiễm sắc thể, xếp theo từng cặp. Một nửa được thừa hưởng từ người cha và nửa kia từ người mẹ. Nhiễm sắc thể mang các gen quy định nên sự hình thành và phát triển của cơ thể.
Tuy nhiên, những trẻ có hội chứng Down lại sở hữu 47 nhiễm sắc thể, vì thừa một nhiễm sắc thể số 21. Và chính nhiễm sắc thể thừa này là thủ phạm gây bệnh.

Hình ảnh nhiễm sắc thể (NST) số 21.
Sở dĩ có nhiễm sắc thể thừa này là do quá trình không phân ly, đó là khi một cặp nhiễm sắc thể số 21 không tách ra trong quá trình hình thành trứng (hay tinh trùng). Khi trứng với tinh trùng bất thường hợp lại để tạo thành phôi, phôi đó sẽ có đến ba nhiễm sắc thể số 21 thay vì hai như bình thường.
Theo các chuyên gia, quá trình không phân ly này thường xảy ra ở những phụ nữ lớn tuổi, điều đó có thể giải thích lý do vì sao các bà mẹ trên 35 tuổi lại có nguy cơ sinh con bị hội chứng Down cao hơn.
Nói đơn giản, nếu mẹ ở tuổi 30 có nguy cơ sinh con bị hội chứng Down là 1/900 thì tỷ lệ này ở bà mẹ tuổi 35 là 1/350, ở tuổi 40 sẽ là 1/100, và thậm chí là 1/24 khi mẹ 45 tuổi.
Bên cạnh đó, các chuyên gia cho rằng nếu trong gia đình có ông bà, cha mẹ hoặc người thân bị bệnh down thì nguy cơ trẻ bị down là rất cao.
Triệu chứng của người có hội chứng Down
Người bị hội chứng Down có nhiều biểu hiện bất thường về hình thái và chức năng:
- Phần đầu thường ngắn và bé, gáy rộng và phẳng; cổ ngắn, vai tròn. Mũi nhỏ và tẹt, lưỡi quá to so với miệng.
- Mặt dẹt, trông có phần ngờ nghệch, đôi tai thấp nhỏ. Mắt xếch, đôi khi bị lác, nếp gấp da phủ trong mí mắt, mắt hơi sưng và đỏ. Trong lòng đen mắt có nhiều chấm trắng nhỏ như hạt cát và thường mất đi sau 12 tháng tuổi. Miệng trễ và luôn há, vòm miệng cao, lưỡi dày thè ra ngoài.
- Chân tay ngắn, bàn tay ngắn, to. Các ngón tay ngắn, ngón út thường khoèo. Khoảng cách giữa ngón chân cái và ngón chân thứ hai quá rộng. Lòng bàn tay có nếp sâu nằm nghiêng. Bàn chân phẳng, ngón chân chim, ngón cái tòe ra; khoảng cách giữa ngón chân cái và ngón chân thứ hai quá rộng. Các khớp khuỷu, háng, gối, cổ chân lỏng lẻo; đôi khi trật khớp háng, trật xương bánh chè.
- Ngoài ra, người mắc hội chứng Down có nguy cơ cao mắc một số bệnh như: trào ngược dạ dày, thực quản; gặp vấn đề về thính lực và thị lực; một số ít mắc ung thư máu.
Chẩn đoán và điều trị
Những kỹ thuật y tế nào dùng để chẩn đoán hội chứng Down?
Trong thời gian mang thai, xét nghiệm sàng lọc và xét nghiệm chẩn đoán có thể được thực hiện để phát hiện xem thai nhi có bị hội chứng Down hay không.
Sau khi sinh, trẻ được lấy máu để phân tích và tìm sự hiện diện của nhiễm sắc thể 21 dư thừa, nguyên nhân gây ra hội chứng Down.
Những phương pháp nào được dùng để điều trị hội chứng Down?
Hội chứng Down không thể điều trị hoàn toàn. Tuy nhiên, điều quan trọng là cha mẹ nhận ra tình trạng này càng sớm càng tốt và giúp trẻ từ khi còn nhỏ.
Nếu con bạn bị hội chứng Down, bạn có thể cần sự giúp đỡ của bác sĩ hoặc một nhóm hỗ trợ để cung cấp cho trẻ những chăm sóc y tế và khuyến khích trẻ phát triển các kỹ năng xã hội thiết yếu.
Một số phương pháp sàng lọc hội chứng Down trước khi sinh
Chính vì hội chứng Down không thể điều trị hoàn toàn và sẽ gây ra những khó khăn cho chính đứa trẻ, cũng như tạo thêm gánh nặng cho gia đình và xã hội nên việc sàng lọc trước sinh là vô cùng quan trọng.
Trước đây, mẹ bầu chỉ biết đến các phương pháp như siêu âm đo khoảng sáng sau gáy, double, triple Test hay chọc ối (phương pháp xâm lấn). Thì nay với sự tiến bộ của khoa học di truyền, các mẹ bầu có thể làm sàng lọc trước sinh NIPT hoàn toàn an toàn cho cả mẹ và thai nhi.
Dưới đây là các phương pháp sàng lọc trước sinh hội chứng Down được ứng dụng hiện nay.
1. Phương pháp siêu âm đo khoảng sáng sau gáy ở quý đầu thai kỳ
Năm 1995, Kypros Nicolaides đã mô tả khoảng sáng sau gáy và đưa ra phương pháp đo chuẩn được sử dụng trên tất cả các trung tâm trên toàn thế giới. Tuy nhiên, cần lưu ý khoảng sáng sau gáy tăng không phải là dị dạng, không phải thai nhi bị hội chứng Down mà chỉ là một dấu hiệu gợi ý trên siêu âm của hội chứng Down.
Giá trị của đo khoảng sáng sau gáy:
- Khoảng sáng sau gáy càng dày thì nguy cơ hội chứng Down càng tăng và ngược lại khoảng sáng sau gáy càng mỏng thi nguy cơ hội chứng Down càng thấp.
- Kết hợp đo khoảng sáng sau gáy với tuổi của người mẹ có thể phát hiện được 75% hội chứng Down.
- Kết hợp đo khoảng sáng sau gáy với định lượng beta hCG tự do và protein huyết tương A trong thời kỳ mang thai (PAPP-A) có thể chẩn đoán được 90% hội chứng Down.
2. Phương pháp sàng lọc trước sinh không xâm lấn NIPT
NIPT (Non Invasive Prenatal Testing)
Sàng lọc trước sinh không xâm lấn NIPT là phương pháp phân tích ADN tự do của thai nhi trong máu mẹ để sàng lọc các bệnh di truyền cho thai nhi. NIPT giúp phát hiện sớm các hội chứng Down, Edwards, Patau, bất thường nhiễm sắc thể giới tính, đột biến vi mất đoạn và tất cả các bất thường số lượng nhiễm sắc thể đảm bảo AN TOÀN và CHÍNH XÁC tới 99,9%.
Chỉ cần 7 - 10 ml máu ngoại vi của người mẹ mang thai để xét nghiệm các hội chứng Down, Edwards, Patau… và rất nhiều hội chứng khác cho thai nhi với độ chính xác cao vượt trội hơn các xét nghiệm thông thường.
Ở thời điểm hiện tại, GENTIS là đơn vị đầu tiên và được illumina – Mỹ uỷ quyền thực hiện các xét nghiệm NIPT - illumina tại Việt Nam. Sàng lọc trước sinh không xâm lấn NIPT – illumina là phương pháp được rất nhiều phụ nữ mang thai tại các nước tiên tiến sử dụng giúp phát hiện sớm những bệnh di truyền phổ biến có thể ảnh hưởng đến sức khỏe và sự phát triển của thai nhi.
3. Định lượng các chất đánh dấu trong huyết thanh người mẹ hay các xét nghiệm sàng lọc bằng huyết thanh
- Triple test: Áp dụng cho thai phụ có tuổi thai từ 14 tuần đến 17 tuần 6 ngày; xét nghiệm định lượng beta hCG tự do, alpha foetoprotein (AFP) và estriol không liên hợp (UE3).
- Double test: Áp dụng cho thai phụ có tuổi thai 12 tuần; định lượng beta hCG tự do và PAPP-A.
4. Chọc hút dịch ối
- Chọc hút dịch ối sớm: thực hiện vào trước 16 tuần.
- Chọc hút dịch ối kinh điển: Thực hiện vào tuổi thai 17-18 tuần.
- Chọc hút dịch ối muộn: Thực hiện vào bất kỳ tuổi thai nào khi phát hiện ra bất thường hình thái trên siêu âm.
Hiện nay thủ thuật chọc ối đã được thực hiện ở nhiều cơ sở y tế tuyến tỉnh và tuyến trung ương. Kỹ thuật chọc ối cũng được áp dụng một cách dễ dàng và nhanh chóng với tỷ lệ thành công cao. Tuy nhiên trước khi quyết định thực hiện thủ thuật này, thai phụ nên cân nhắc kỹ về các rủi ro sau chọc ối có thể mang lại cho mẹ và em bé:
Chuột rút và chảy máu âm đạo, rò rỉ nước ối: Sau khi thực hiện chọc ối, một số người sẽ cảm thấy nhói hoặc tức nhẹ ở vùng chọc ối kèm theo hiện tượng chuột rút và chảy máu âm đạo, rò rỉ nước ối. Khi thấy hiện tượng này, gia đình cần theo dõi chặt chẽ và tham khảo ý kiến bác sĩ ngay.
Truyền nhiễm bệnh từ mẹ sang con: Vì chọc ối là thủ thuật xâm lấn với thao tác chọc kim qua thành bụng, tử cung của người mẹ lấy dịch ối xung quanh thai nhi nên có thể dẫn tới truyền nhiễm một số bệnh từ mẹ sang con: viêm gan C, HIV…
Nhiễm trùng tử cung: Chọc ối nếu không được thực hiện nghiêm ngặt có thể dẫn đến nhiễm trùng tử cung.
Nhạy cảm Rh dẫn đến các biến chứng: Trong trường hợp mẹ có Rh- và thai Rh+ khi thực hiện chọc ối có thể làm một số hồng cầu thai nhi len lỏi vào hệ tuần hoàn của người mẹ. Khi đó, hệ miễn dịch của mẹ sẽ sản sinh ra các kháng thể chống lại yếu tố Rh+ của bé như một phản ứng miễn dịch. Nếu may mắn, trong lần mang thai đầu em bé có thể sinh ra một cách an toàn nhưng trong lần mang thai tiếp theo, bé có thể sinh ra với hiện tượng thiếu máu, vàng da và tỷ lệ sảy thai là rất lớn.
Chấn thương do kim: Trong quá trình thực hiện thao tác chọc ối, em bé có thể di chuyển vào đường đi của kim. Khi đó đầu kim có thể gây ra những tổn thương trên thai nhi tùy vào vị trí tiếp xúc gây ra dị tật không đáng có.
Sảy thai: Hiện nay tay nghề của các y bác sĩ đã được nâng cao hơn trong quá trình thực hiện kỹ thuật chọc ối. Tuy nhiên, việc chọc ối cũng dẫn tới tỷ lệ sảy thai nhất định khoảng 1% (tức là trong số 100 ca chọc ối sẽ có thể có 1 ca sảy thai do chọc ối)
Một đứa trẻ sinh ra bị mắc hội chứng Down sẽ kém khả năng hay không có khả năng tự chăm sóc bản thân, cũng như không có khả năng lao động, tạo ra gánh nặng cho gia đình và xã hội, không chỉ về kinh tế mà còn về tâm lý, tình cảm.
Việc chẩn đoán sớm hội chứng Down trong thai kỳ sẽ giúp thai phụ và gia đình biết sớm về tình trạng sức khỏe của thai nhi và có lựa chọn đúng đắn, phù hợp với hoàn cảnh gia đình, giảm gánh nặng chi phí cho gia đình và xã hội, góp phần cải thiện chất lượng dân số.
Liên hiệp quốc đã lựa chọn ngày 21/3 là “Ngày thế giới nhận thức về hội chứng Down”. Hưởng ứng ngày này, nhiều quốc gia, tổ chức trên thế giới đã tổ chức nhiều hoạt động nhằm chia sẻ thông tin cũng như nhấn mạnh vai trò tích cực của những người có hội chứng Down đối với cộng đồng, xã hội.
Ngọc Phú
(Nguồn: Trung tâm Truyền thông - Giáo dục Sức khỏe Trung ương (Bộ Y tế); Wikipedia)