Chronic endometritis (CE) is a persistent inflammation, characterized by infiltration of plasma cells into the stroma of the endometrium.
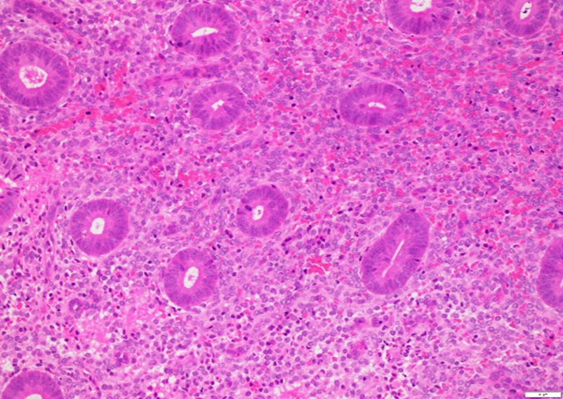
The gold standard for diagnosing endometriosis is to use histochemistry to detect plasma cells on the endometrial staining smear. Methods such as HE histochemistry are often difficult for even specialists because the endometrium contains many cells with different morphology that can make reading difficult. Therefore, an immunohistochemistry method based on the appearance of the cytoplasmic marker CD138 (also known as syndecan-1) has been developed to diagnose endometritis.
=> These changes negatively affect embryo implantation, in fact, it is often associated with implantation failure and repeated miscarriages.
The incidence of chronic endometritis is about 8-72% in women of reproductive age. The risk factors are:
There is a relationship between endometritis and infertility. There were 2.8 - 56.8% infertile women, 14 - 67.5% in the group of repeated implantation failures and 9.3 - 67.6% in the group of women with consecutive miscarriages diagnosed with endometritis. Because of its high frequency in pregnancy complications, it is a disease that must be avoided during pregnancy.
Kitaya et al. showed that in the group of multiple implantation failures, patients with endometritis during treatment had a live birth rate at the first embryo transfer cycle (32.8%) and a combined live birth rate of 3 cycles. The first group (38.8%) was much higher than the control group (22.1% and 27.9%) [1].
Although there are many opinions about whether CE affects fertility or not, most studies suggest that treatment of CE is likely to improve the success rate of assisted reproduction.
Currently, the diagnosis of CE is usually using immunohistochemistry with the CD138 marker. The use of this method has many advantages over the HE method. In the HE method, monocytes and plasmacytic stromal cells can be mistaken for plasma cells, resulting in an increased false-positive rate. Furthermore, the use of CD138 also makes it easier to count plasma cells (since plasma cells are very visible in the field), reducing the time required to do the test. Therefore, compared with HE staining, the use of CD138 is a more reliable method.


(Figure 1 - right) Immunohistochemistry detected plasma cells by the CD138 marker compared with HE staining (Figure 2 right)
Bayer-Garner et al. studied on 47 patients using HE and CD138 staining. While HE staining detected 7 cases of HFMD, using CD138 detected 13 more cases [3]. Another study showed that CD138 immunohistochemistry was more detectable than HE staining and morphological methods (56% vs 13%, P < 0.01) [4 ].
To be able to conclude the status of CE in fact needs evidence related to the morphology of endometrial cells, so the test at Gentis performed in combination with the determination of plasma cells by immunohistochemistry staining. CD138 and HE staining to determine cell morphology.
The cutoff value is often different among authors around the world. Some authors only need 1 plasma cell/10 high magnification. However, most often take the value of 5 plasma cells/10 high magnification as the definitive diagnostic criterion for CE[5].
Note:
Time to return results: 3-5 working days
References:
1, Kitaya, K., et al., Live birth rate following oral antibiotic treatment for chronic endometritis in infertile women with repeated implantation failure. American journal of reproductive immunology (New York, N.Y. : 1989), 2017. 78(5).
2, Takebayashi, A., et al., The Association between Endometriosis and Chronic Endometritis. PLOS ONE, 2014. 9(2): p. e88354.
3, Bayer-Garner, I.B., J.A. Nickell, and S. Korourian, Routine Syndecan-1 Immunohistochemistry Aids in the Diagnosis of Chronic Endometritis. Archives of Pathology & Laboratory Medicine, 2004. 128(9): p. 1000-1003.
4, McQueen, D.B., et al., Pregnancy outcomes in women with chronic endometritis and recurrent pregnancy loss. Fertility and Sterility, 2015. 104(4): p. 927-931.
6, Song, D., et al., Prevalence and confounders of chronic endometritis in premenopausal women with abnormal bleeding or reproductive failure. Reproductive BioMedicine Online, 2018. 36(1): p. 78-83.