Array
(
[0] => stdClass Object
(
[id] => 111
[id_crawler] =>
[category_product] => NULL
[thumbnail] => tin-tuc/201811/2.jpg
[album] =>
[url_video] =>
[is_status] => 1
[is_featured] => 0
[is_form] => 0
[displayed_time] => 2018-11-22
[program] => 0
[number] => 1
[viewed] => 0
[type] =>
[type_career] =>
[level] =>
[address] =>
[address_career] =>
[expiration_time] => 0000-00-00
[created_time] => 2019-09-07 15:19:43
[updated_time] => 2019-09-07 15:19:43
[files] =>
[salary] =>
[time] =>
[created_by] =>
[is_table_content] =>
[language_code] => vi
[slug] => xet-nghiem-adn-chia-khoa-xac-dinh-quan-he-huyet-thong
[title] => Xét nghiệm ADN: Chìa khóa xác định quan hệ huyết thống
[description] => Trong đời sống xã hội từ xưa đến nay đều có nhiều đòi hỏi về xét nghiệm quan hệ huyết thống cha con... Từ giữa những năm 80 của thế kỷ XX, một phương pháp hiện đại nhất ra đời - đó là xét nghiệm ADN. Cho tới nay phương pháp xét nghiệm mới này vẫn là một phương pháp có độ chính xác rất cao.
[content] =>
Những rắc rối đời thường
Một phụ nữ quan hệ tình dục với nhiều người đàn ông, vậy khi sinh con đứa trẻ là con ai?
Ca dao xưa của nhân dân ta cũng đã nói lên những nghi vấn, nhưng bất lực:
* Đẻ đứa con trai
* Chẳng biết nó giống ai ?
* Cái mặt thì giống ông Cai
* Cái đầu ông Xã, cái tai ông Trùm
Một bạn đọc ở thành phố Đà Nẵng hỏi: Ở địa phương ông ta có chị T. gần 40 tuổi, không chồng, ao ước đẻ được một đứa con để nuôi. Hai anh H. và Đ. đã đáp ứng nguyện vọng đó. Kết quả chị T. sinh được một cháu trai khỏe mạnh, kháu khỉnh. Anh H. và Đ. đều nhận là con mình (hai người đều có vợ nhưng không có con trai), việc tranh chấp rất căng thẳng. Ngay chị T. cũng không biết ai là bố đứa trẻ, vì cùng một thời gian chị T. quan hệ tình dục với cả hai anh. Bạn đọc hỏi, vậy khoa học ngày nay xác định như thế nào?
Gần như năm nào cũng có một số người hỏi về vấn đề này và yêu cầu tư vấn. Thông thường nhất là nam giới nghi ngờ vợ ngoại tình, đứa trẻ sinh ra chưa chắc đó là “tác phẩm” của chính mình. Nhưng cũng có phụ nữ yêu cầu được xét nghiệm huyết thống cho con, để người chồng đừng ghen hão, hoài nghi... Thậm chí có trường hợp đương sự yêu cầu được xét nghiệm huyết thống để tránh bị vu oan hoặc tránh bị yêu sách thừa kế tài sản...

Hệ kháng nguyên bạch cầu
Xét nghiệm nhóm máu hồng cầu như nhiều người tưởng giải quyết được vấn đề, thực ra bất lực. Xét nghiệm này không thể cho được kết luận chắc chắn. Để xác định ai là bố đứa trẻ thì xét nghiệm máu cổ điển chỉ cho phép xác định người đàn ông nào đó không phải là cha của đứa trẻ, hoặc thuộc diện những người nghi vấn chứ chưa thể khẳng định được. Nhưng nếu dựa vào những thành tựu biết được về hệ kháng nguyên bạch cầu, thì có thể giải đáp khá chính xác.
Các bạch cầu đều có chứa khoảng 40 kháng nguyên protein trong tất cả các nhóm liên kết của chúng, cho nên khả năng tìm được 2 người có cùng một nhóm liên kết rất hiếm. Đứa trẻ được di truyền một nửa kháng nguyên bạch cầu là của bố và một nửa của mẹ.
Năm 1983, tại bang California, Mỹ, người ta đã xử một vụ kiện lý thú. Đó là xác định trách nhiệm người cha (phải góp phần nuôi dưỡng) hai đứa trẻ sinh đôi do một thiếu phụ Mỹ kiện một người đàn ông Mỹ, vì ông ta không chịu nhận con. Tòa án đã đề nghị cho giám định y khoa. Ngày ấy xét nghiệm ADN chưa phổ cập. Các nhà y học đã dựa vào những hiểu biết mới về hệ kháng nguyên bạch cầu để giám định. Kết quả xét nghiệm đã khẳng định được người đàn ông trên là bố của một trong hai đứa trẻ, còn đứa thứ hai thì không phải là con ông ta (trẻ sinh đôi từ 2 trứng khác nhau).
Khi biết kết quả, lập tức người đàn bà bất hạnh liền báo cho tòa thêm một người đàn ông khác đã từng ăn nằm với chị ta. Và qua xét nghiệm kháng nguyên bạch cầu, các nhà khoa học đã cho biết chính người đàn ông thứ hai này là bố của đứa trẻ sinh đôi thứ hai. Kết quả giám định y khoa nói trên đã được người thiếu phụ và hai người đàn ông kia thừa nhận.

ADN, sợi dây ràng buộc cha con
ADN là 3 chữ viết tắt của acid deoxyribonucleic. Nó do ba chất cơ bản tạo thành: đường deoxyribose, acid phosphoric và một gốc base nitơ (có 4 gốc base: adenine, cytosine, guanine, thymine). Ba thành phần trên sắp xếp theo thứ tự đường luân phiên với acid và cứ mỗi gốc đường đính với một trong bốn loại base tạo thành cặp trình tự đã được mã hóa từ trước, gồm hai chuỗi xoắn kép sắp xếp theo trình tự nhất định theo mã rất đặc trưng. Một bộ ba (đường, acid, base) này được gọi là một nucleotide, nhiều mẩu nucleotide đính kết lại gọi là polynuleotide. Thể nhiễm sắc của tế bào được cấu tạo từ ADN, và gen là một đoạn nhỏ của phân tử ADN. Mỗi một cá thể có bộ ADN khác nhau, nó là cơ sở vật chất của tính di truyền.
Dọc theo ADN có các chuỗi cơ chất lặp đi lặp lại nhiều lần. Đoạn lặp lại chứa từ 16-70 nucleotide, được nhà khoa học người Anh là A. Jeffereys (một trong những người đầu tiên ứng dụng ADN vào xét nghiệm huyết thống) gọi nhóm chuỗi đó là “tiểu vệ tinh” (minisatellite - VNTR) hay (microsatelite - STR). Các đoạn lặp đi lặp lại nhiều lần này theo trình tự chuỗi trên toàn bộ chiều dài bộ gen.
Mỗi người có số lượng VNTR và STR khác nhau, tương quan chiều dài, trình tự cũng khác nhau. Mục đích của kỹ thuật phân tích ADN là tìm ra sự đồng dạng về các đoạn lặp đi lặp lại nhiều lần theo trình tự chuỗi này. Người ta dùng các kỹ thuật sinh học phân tử để xác định các đoạn lặp lại đó. Đứa con sẽ mang các đoạn lặp lại này của bố và các đoạn lặp lại của mẹ. Những đặc tính này của STR và VNTR là không thay đổi trong suốt cuộc đời của cá thể.
Đối với đoạn STR (vi vệ tinh), người ta dùng kỹ thuật PCR (chữ viết tắt của polymerase chain reaction = phản ứng dây chuyền polymeraza) để khuếch đại đoạn gen có chứa đoạn STR đó rồi nhờ một máy chuyên dụng (GENESCAN) với phần mềm vi tính đo chiều dài đoạn lặp lại STR. Đứa con có đoạn lặp lại STR một giống bố và một giống mẹ.
Đối với các đoạn VNTR (tiểu vệ tinh) vì chứa nhiều nucleotide hơn và độ lặp lại nhiều hơn (dài hơn), nên người ta dùng kỹ thuật Finger Printing để phân tích. Trước hết dùng men (enzym) cắt hạn chế (tránh không cắt vào bên trong đoạn VNTR) toàn bộ gen thành nhiều mảnh nhỏ. Sau đó chạy điện di các mảnh gen này trên thạch agarose. Dùng kỹ thuật Southern Blotting chuyển các mảnh ADN vào giấy cellulose. Gắn ADN đích lên giấy và chụp hình bằng phóng xạ để nhận ra đoạn VNTR. Con sẽ có đoạn lặp lại VNTR một giống bố và một giống mẹ.
Độ chính xác của mỗi kết quả xét nghiệm dựa vào tần suất các STR và VNTR của từng chủng tộc. Nếu làm xét nghiệm với càng nhiều đoạn STR và VNTR thì độ chính xác càng cao. Xác suất hai người có cùng số đoạn lặp lại VNTR và STR là cực kỳ hiếm - chỉ có trường hợp ngoại lệ đó là hai anh em sinh đôi từ một trứng.
Tuy nhiên, xét nghiệm phân tích ADN vẫn chưa được tiến hành rộng rãi. Bởi muốn làm được điều đó cần phải có các trang thiết bị hiện đại, đắt tiền. Và số tiền phải trả cho mỗi xét nghiệm nhiều, chưa phù hợp với túi tiền của số đông người lao động hiện nay
[content_more] =>
[meta_title] => Xét nghiệm ADN: Chìa khóa xác định quan hệ huyết thống
[meta_description] => Xét nghiệm ADN: Chìa khóa xác định quan hệ huyết thống
[meta_keyword] => Xét nghiệm ADN: Chìa khóa xác định quan hệ huyết thống,xét nghiệm ADN cha-con
[thumbnail_alt] =>
[post_id] => 111
[category_id] => 16
)
[1] => stdClass Object
(
[id] => 110
[id_crawler] =>
[category_product] => NULL
[thumbnail] => tin-tuc/201811/142488322910925182.jpeg
[album] =>
[url_video] =>
[is_status] => 1
[is_featured] => 0
[is_form] => 0
[displayed_time] => 2018-11-19
[program] => 0
[number] => 1
[viewed] => 0
[type] =>
[type_career] =>
[level] =>
[address] =>
[address_career] =>
[expiration_time] => 0000-00-00
[created_time] => 2019-09-07 15:03:22
[updated_time] => 2019-09-07 15:03:22
[files] =>
[salary] =>
[time] =>
[created_by] =>
[is_table_content] =>
[language_code] => vi
[slug] => nhung-luu-y-khi-lam-xet-nghiem-sang-loc-truoc-sinh-khong-xam-lan-nipt
[title] => Những lưu ý khi làm xét nghiệm NIPT (GenEva) sàng lọc trước sinh không xâm lấn
[description] => Xét nghiệm NIPT (GenEva) sàng lọc trước sinh không xâm lấn là loại xét nghiệm mới được triển khai tại Việt Nam trong thời gian gần đây. Đây là một loại xét nghiệm lấy máu của người mẹ để phân tích Gen của bào thai để sàng lọc những bất thường số lượng nhiễm sắc thể, phát hiện các vi đột biến mất đoạn (Microdeletion)
[content] =>
Xét nghiệm này an toàn cho thai phụ và bào thai và có độ chính xác cao. Dưới đây là những lưu ý dành cho những thai phụ muốn thực hiện xét nghiệm này:
Ai nên thực hiện xét nghiệm NIPT - Illumina (GenEva)?
- Mọi phụ nữ mang thai đều có nguy cơ với bệnh di truyền trên nhiễm sắc thể 21,18,13 hoặc đột biến lệch bội NST giới tính nên xét nghiệm NIPT - Illumina được khuyến cáo thực hiện ở tất cả phụ nữ mang thai.
- Tuổi mang thai muộn (trên 35 tuổi)
- Sảy thai liên tiếp
- Các trường hợp mang thai từ IVF
- Bố mẹ và con cái của những người mang bất thường nhiễm NST dạng chuyển đoạn, mất đoạn, lặp đoạn.
- Các trường hợp thai lưu với thai mang dị dạng hoặc thai chết lưu không rõ nguyên nhân.
- Trường hợp siêu âm tuần 12 có độ mờ da gáy cao hoặc kết quả Douple test hoặc Triple test nằm trong nhóm nguy cơ cao.
Trước đây khi chưa có xét nghiệm NIPT - Illumina (GenEva) sàng lọc trước sinh không xâm lấn, những trường hợp có kết quả Douple test hoặc Triple test nằm trong nhóm nguy cơ cao thường được tư vấn chọc ối hoặc sinh thiết gai nhau để kiểm tra. Khá nhiều trường hợp kết quả không bất thường nhưng gặp phải nguy cơ sảy thai khi chọc ối. Theo các nghiên cứu và thống kê thì cứ 500 sản phụ bị chọc ối thì có sẽ có 1 sản phụ bị sảy thai không mong muốn.
Trong khi đó, xét nghiệm NIPT - Illumina (GenEva) có độ chính xác cao giúp sàng lọc lên đến 99,9% đối với trường hợp hội chứng Down. Việc này giúp sàng lọc và hạn chế được việc chọc ối không cần thiết cho các sản phụ.
Xét nghiệm NIPT - Illumina (GenEva) sàng lọc trước sinh không xâm lấn
Khi nào thì thai phụ có thể thực hiện xét nghiệm NIPT?
Thai phụ có thể thực hiện xét nghiệm từ tuần thứ 10 của thai kỳ.
Mẫu sử dụng trong xét nghiệm NIPT?
Chỉ cần 7-10 ml máu của mẹ để xét nghiệm NIPT - Illumina (GenEva) sàng lọc trước sinh không xâm lấn.
Thời gian thực hiện?
Chỉ từ 4 ngày.
Việc đọc kết quả thực hiện như nào?
Các bác sĩ di truyền của GENTIS hoặc bác sĩ sản khoa sẽ đọc kết quả
Xét nghiệm NIPT - Illumina (GenEva) không sử dụng để:
- Thay thế cho việc siêu âm trong thai kỳ
- Xác định giới tính của bào thai
Xét nghiệm NIPT - Illumina (GenEva) thể hiện sự phát triển của khoa học và ngành phân tích di truyền. Xét nghiệm này được thực hiện an toàn và tin cậy đóng góp to lớn vào việc nâng cao chất lượng dân số xã hội. Liên hệ để được tư vấn về dịch vụ Xét nghiệm NIPT - Illumina (GenEva) - gọi tổng đài miễn phí 1800 2010.
Xem thêm:
Nên lựa chọn xét nghiệm NIPT trên những yếu tố nào
Nguyên Giám đốc BV Phụ sản Trung ương nói gì về NIPT - Illumina (GenEva)
[content_more] =>
[meta_title] => Những lưu ý khi làm xét nghiệm sàng lọc trước sinh không xâm lấn NIPT
[meta_description] => Những lưu ý khi làm xét nghiệm sàng lọc trước sinh không xâm lấn NIPT
[meta_keyword] => NIPT,Sàng lọc trước sinh không xâm lấn,xét nghiệm biết bệnh down
[thumbnail_alt] =>
[post_id] => 110
[category_id] => 16
)
[2] => stdClass Object
(
[id] => 109
[id_crawler] =>
[category_product] => NULL
[thumbnail] => tin-tuc/201909/pho-vien-truong-vien-khoa-hoc-hinh-su-bo-cong-an-005.jpg
[album] =>
[url_video] =>
[is_status] => 1
[is_featured] => 0
[is_form] => 0
[displayed_time] => 2019-07-22
[program] => 0
[number] => 1
[viewed] => 0
[type] =>
[type_career] =>
[level] =>
[address] =>
[address_career] =>
[expiration_time] => 0000-00-00
[created_time] => 2019-09-07 14:58:06
[updated_time] => 2019-09-07 14:58:06
[files] =>
[salary] =>
[time] =>
[created_by] =>
[is_table_content] =>
[language_code] => vi
[slug] => khi-con-de-khong-phai-la-con-ruot
[title] => Khi con đẻ không phải là con ruột
[description] => Một người đàn ông đưa con mình đi xét nghiệm ADN để xem đứa con do vợ mình sinh ra có phải là con đẻ của mình không hay con của một người đàn ông nào khác. Tuy nhiên, khi phân tích kết quả cho thấy kiểu gene của người bố rất khác thường.
[content] =>
Các mẫu phẩm khác nhau của người bố như máu, tóc, tế bào niêm mạc miệng của người bố đã lần lượt được phân tích và chúng cho kết quả không giống nhau và không có quan hệ huyết thống với người con. Thậm trí kiểu gen của người bố này được so sánh ngược trở lại với kiểu gene của bố mẹ đẻ (tức ông bà nội) cũng cho thấy có sự khác biệt.
Trường hợp xét nghiệm đặc biệt này đã được các Giám định viên của Viện Khoa học hình và các Xét nghiệm viên của Công ty cổ phần dịch vụ phân tích di truyền - Gentis thực hiện. Với kết quả như trên các cán bộ của hai cơ sở phân tích khẳng định đây là hiện tượng Chimerism, một hiện tượng ít thấy và có lẽ lần đầu được phát hiện nhờ phân tích ADN để xác định quan hệ huyết thống tại Việt Nam. Chính do hiện tượng Chimerism nên khi phân tích các mẫu khác nhau của cùng một người lại cho kết quả kiểu gen khác nhau là điều dễ hiểu.
Vậy Chimerism là gì. Chimerism hay còn gọi là Chimera, Chimerism là từ dùng để gọi tên một quái vật trong thần thoại Hy Lạp, còn trong di truyền học là hiện tượng xảy ra ở người khi hai trứng đã được thụ tinh (tức hai phôi) có nghĩa là hai phôi này có cấu trúc di truyền khác nhau lại kết hợp với nhau trong thời kỳ đầu của thai kỳ. Mỗi hợp tử mang một bản sao của bố mẹ. Chính vì vậy mà hợp tử mới, sau này phát triển thành một cơ thể mới có cấu trúc di truyền khác nhau (xem ảnh). Hoặc của một trứng đã thụ tinh với một tế bào trứng thoái hóa trong quá trình phân chia; bởi vậy trong cơ thể có những mô mang tế bào của trứng A, mô khác lại mang tế bào của trứng B hoặc cả hai. Chính vì vậy mà một người có hai màu mắt.

Ngoài ra còn có hiện tượng Chimerism sinh đôi xảy ra khi hai trứng được thụ tinh không kết hợp mà chỉ trao đổi tế bào và gene trong quá trình phát triển để tạo ra hai cá thể riêng biệt. Khi đó thì một hoặc cả hai cá thể này mang hai kiểu gene hoàn toàn khác nhau, điển hình là Chimerism máu.
Một hiện tượng khác nữa của Chimerism là micro Chimerism, nó xảy ra khi xuất hiện một lượng nhỏ tế bào có nguồn gốc từ cá thể khác có sự khác biệt về gene với một cá thể vật chủ. Hiện tượng này xảy ra giữa mẹ và con thai kỳ. Các tế bào của mẹ qua nhau thai vào cơ thể con, ngược lại tế bào gốc của bào thai cũng có thể vào cơ thể mẹ.
Hiện tượng Chimerism ở người ít gặp, nó chỉ được phát hiện ngẫu nhiên trong một tình huống cụ thể nào đó. Để xác định được Chimerism là rất khó khăn.
Trên thế giới, hiện tượng Chimerism đã từng được phát hiện và đã được các nhà khoa học công bố. Chẳng hạn trường hợp bà Karen Keegan, 52 tuổi ở Boston được phát hiện là Chimerism khi tiến hành các xét nghiệm bà và ba người con để xem ai có thể hiến tặng thận cho mẹ để ghép. Kết quả thật bất ngờ là hai trong số ba người con của bà không phải là con đẻ của mình. Sau hàng loạt các xét nghiệm được tiến hành như: Hệ thống nhóm máu, hệ HLA, di truyền tế bào học, giới tính và 20 locus gen autosomal - STR của nhóm các nhà khoa học bao gồm Neng Yu, Margot S.Kruskall, Yuan J. Yunis....(J Med,vol.346, N0.20, 2002) đã kết luận bà Karen là hiện tượng Chimerism. Một trường hợp khác cũng được phát hiện tương tự như trường hợp của bà Karen, đó là trường hợp cô Lydia Fairchild, 26 tuổi ở Washington viết đơn xin trợ cấp hàng tháng cho các con mình gửi nhà chức trách tại nơi cô cư trú. Thế nhưng đề nghị này không được chấp nhận với lý do khi xét nghiệm ADN cho thấy các đứa con này không phải của cô Lydia. Cuối cùng sau hàng loạt các xét nghiệm được tiến hành bởi các bác sĩ đã kết luận Lydia Fairchild là trường hợp Chimerism.
Thế mới biết, con người còn nhiều điều bí ẩn mà chúng ta chưa thể khám phá được hết.

[content_more] =>
[meta_title] => Khi con đẻ không phải là con ruột
[meta_description] => Khi con đẻ không phải là con ruột
[meta_keyword] => Khi con đẻ không phải là con ruột,xét nghiệm ADN cha-con
[thumbnail_alt] =>
[post_id] => 109
[category_id] => 16
)
[3] => stdClass Object
(
[id] => 107
[id_crawler] =>
[category_product] => NULL
[thumbnail] => tin-tuc/201907/hoi-chung-down2.png
[album] =>
[url_video] =>
[is_status] => 1
[is_featured] => 0
[is_form] => 0
[displayed_time] => 2019-07-18
[program] => 0
[number] => 1
[viewed] => 0
[type] =>
[type_career] =>
[level] =>
[address] =>
[address_career] =>
[expiration_time] => 0000-00-00
[created_time] => 2019-09-07 14:37:50
[updated_time] => 2019-09-07 14:40:16
[files] =>
[salary] =>
[time] =>
[created_by] =>
[is_table_content] =>
[language_code] => vi
[slug] => hoi-chung-down-va-su-that-me-bau-nen-biet
[title] => Hội chứng Down và sự thật mẹ bầu nên biết
[description] => Hội chứng Down là một trong những bất thường hình thái do bất thường số lượng nhiễm sắc thể khá thường gặp. Nếu mẹ ở tuổi 30 có nguy cơ sinh con bị hội chứng Down là 1/900 thì tỷ lệ này ở bà mẹ tuổi 35 là 1/350, ở tuổi 40 sẽ là 1/100, và thậm chí là 1/24 khi mẹ 45 tuổi.
[content] =>
Hội chứng Down được John Landon Down (một bác sĩ người Anh) mô tả lần đầu tiên vào năm 1886, về những người có tập hợp các bất thường bẩm sinh, trong đó nổi bật là người mắc bệnh sở hữu khuôn mặt đặc trưng, luôn ở trong tình trạng trì trệ tâm thần và gặp một số bất thường ở hệ tim mạch, tiêu hóa... dễ dẫn đến tử vong trong 5 năm đầu đời.
Nguyên nhân gây ra hội chứng Down
Chúng ta biết rằng, bình thường, con người có 46 nhiễm sắc thể, xếp theo từng cặp. Một nửa được thừa hưởng từ người cha và nửa kia từ người mẹ. Nhiễm sắc thể mang các gen quy định nên sự hình thành và phát triển của cơ thể.
Tuy nhiên, những trẻ có hội chứng Down lại sở hữu 47 nhiễm sắc thể, vì thừa một nhiễm sắc thể số 21. Và chính nhiễm sắc thể thừa này là thủ phạm gây bệnh.

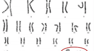
Hình ảnh nhiễm sắc thể (NST) số 21.
Sở dĩ có nhiễm sắc thể thừa này là do quá trình không phân ly, đó là khi một cặp nhiễm sắc thể số 21 không tách ra trong quá trình hình thành trứng (hay tinh trùng). Khi trứng với tinh trùng bất thường hợp lại để tạo thành phôi, phôi đó sẽ có đến ba nhiễm sắc thể số 21 thay vì hai như bình thường.
Theo các chuyên gia, quá trình không phân ly này thường xảy ra ở những phụ nữ lớn tuổi, điều đó có thể giải thích lý do vì sao các bà mẹ trên 35 tuổi lại có nguy cơ sinh con bị hội chứng Down cao hơn.
Nói đơn giản, nếu mẹ ở tuổi 30 có nguy cơ sinh con bị hội chứng Down là 1/900 thì tỷ lệ này ở bà mẹ tuổi 35 là 1/350, ở tuổi 40 sẽ là 1/100, và thậm chí là 1/24 khi mẹ 45 tuổi.
Bên cạnh đó, các chuyên gia cho rằng nếu trong gia đình có ông bà, cha mẹ hoặc người thân bị bệnh down thì nguy cơ trẻ bị down là rất cao.
Triệu chứng của người có hội chứng Down
Người bị hội chứng Down có nhiều biểu hiện bất thường về hình thái và chức năng:
- Phần đầu thường ngắn và bé, gáy rộng và phẳng; cổ ngắn, vai tròn. Mũi nhỏ và tẹt, lưỡi quá to so với miệng.
- Mặt dẹt, trông có phần ngờ nghệch, đôi tai thấp nhỏ. Mắt xếch, đôi khi bị lác, nếp gấp da phủ trong mí mắt, mắt hơi sưng và đỏ. Trong lòng đen mắt có nhiều chấm trắng nhỏ như hạt cát và thường mất đi sau 12 tháng tuổi. Miệng trễ và luôn há, vòm miệng cao, lưỡi dày thè ra ngoài.
- Chân tay ngắn, bàn tay ngắn, to. Các ngón tay ngắn, ngón út thường khoèo. Khoảng cách giữa ngón chân cái và ngón chân thứ hai quá rộng. Lòng bàn tay có nếp sâu nằm nghiêng. Bàn chân phẳng, ngón chân chim, ngón cái tòe ra; khoảng cách giữa ngón chân cái và ngón chân thứ hai quá rộng. Các khớp khuỷu, háng, gối, cổ chân lỏng lẻo; đôi khi trật khớp háng, trật xương bánh chè.
- Ngoài ra, người mắc hội chứng Down có nguy cơ cao mắc một số bệnh như: trào ngược dạ dày, thực quản; gặp vấn đề về thính lực và thị lực; một số ít mắc ung thư máu.
Chẩn đoán và điều trị
Những kỹ thuật y tế nào dùng để chẩn đoán hội chứng Down?
Trong thời gian mang thai, xét nghiệm sàng lọc và xét nghiệm chẩn đoán có thể được thực hiện để phát hiện xem thai nhi có bị hội chứng Down hay không.
Sau khi sinh, trẻ được lấy máu để phân tích và tìm sự hiện diện của nhiễm sắc thể 21 dư thừa, nguyên nhân gây ra hội chứng Down.
Những phương pháp nào được dùng để điều trị hội chứng Down?
Hội chứng Down không thể điều trị hoàn toàn. Tuy nhiên, điều quan trọng là cha mẹ nhận ra tình trạng này càng sớm càng tốt và giúp trẻ từ khi còn nhỏ.
Nếu con bạn bị hội chứng Down, bạn có thể cần sự giúp đỡ của bác sĩ hoặc một nhóm hỗ trợ để cung cấp cho trẻ những chăm sóc y tế và khuyến khích trẻ phát triển các kỹ năng xã hội thiết yếu.
Một số phương pháp sàng lọc hội chứng Down trước khi sinh
Chính vì hội chứng Down không thể điều trị hoàn toàn và sẽ gây ra những khó khăn cho chính đứa trẻ, cũng như tạo thêm gánh nặng cho gia đình và xã hội nên việc sàng lọc trước sinh là vô cùng quan trọng.
Trước đây, mẹ bầu chỉ biết đến các phương pháp như siêu âm đo khoảng sáng sau gáy, double, triple Test hay chọc ối (phương pháp xâm lấn). Thì nay với sự tiến bộ của khoa học di truyền, các mẹ bầu có thể làm sàng lọc trước sinh NIPT hoàn toàn an toàn cho cả mẹ và thai nhi.
Dưới đây là các phương pháp sàng lọc trước sinh hội chứng Down được ứng dụng hiện nay.
1. Phương pháp siêu âm đo khoảng sáng sau gáy ở quý đầu thai kỳ
Năm 1995, Kypros Nicolaides đã mô tả khoảng sáng sau gáy và đưa ra phương pháp đo chuẩn được sử dụng trên tất cả các trung tâm trên toàn thế giới. Tuy nhiên, cần lưu ý khoảng sáng sau gáy tăng không phải là dị dạng, không phải thai nhi bị hội chứng Down mà chỉ là một dấu hiệu gợi ý trên siêu âm của hội chứng Down.
Giá trị của đo khoảng sáng sau gáy:
- Khoảng sáng sau gáy càng dày thì nguy cơ hội chứng Down càng tăng và ngược lại khoảng sáng sau gáy càng mỏng thi nguy cơ hội chứng Down càng thấp.
- Kết hợp đo khoảng sáng sau gáy với tuổi của người mẹ có thể phát hiện được 75% hội chứng Down.
- Kết hợp đo khoảng sáng sau gáy với định lượng beta hCG tự do và protein huyết tương A trong thời kỳ mang thai (PAPP-A) có thể chẩn đoán được 90% hội chứng Down.
2. Phương pháp sàng lọc trước sinh không xâm lấn NIPT
NIPT (Non Invasive Prenatal Testing)
Sàng lọc trước sinh không xâm lấn NIPT là phương pháp phân tích ADN tự do của thai nhi trong máu mẹ để sàng lọc các bệnh di truyền cho thai nhi. NIPT giúp phát hiện sớm các hội chứng Down, Edwards, Patau, bất thường nhiễm sắc thể giới tính, đột biến vi mất đoạn và tất cả các bất thường số lượng nhiễm sắc thể đảm bảo AN TOÀN và CHÍNH XÁC tới 99,9%.
Chỉ cần 7 - 10 ml máu ngoại vi của người mẹ mang thai để xét nghiệm các hội chứng Down, Edwards, Patau… và rất nhiều hội chứng khác cho thai nhi với độ chính xác cao vượt trội hơn các xét nghiệm thông thường.
Ở thời điểm hiện tại, GENTIS là đơn vị đầu tiên và được illumina – Mỹ uỷ quyền thực hiện các xét nghiệm NIPT - illumina tại Việt Nam. Sàng lọc trước sinh không xâm lấn NIPT – illumina là phương pháp được rất nhiều phụ nữ mang thai tại các nước tiên tiến sử dụng giúp phát hiện sớm những bệnh di truyền phổ biến có thể ảnh hưởng đến sức khỏe và sự phát triển của thai nhi.
3. Định lượng các chất đánh dấu trong huyết thanh người mẹ hay các xét nghiệm sàng lọc bằng huyết thanh
- Triple test: Áp dụng cho thai phụ có tuổi thai từ 14 tuần đến 17 tuần 6 ngày; xét nghiệm định lượng beta hCG tự do, alpha foetoprotein (AFP) và estriol không liên hợp (UE3).
- Double test: Áp dụng cho thai phụ có tuổi thai 12 tuần; định lượng beta hCG tự do và PAPP-A.
4. Chọc hút dịch ối
- Chọc hút dịch ối sớm: thực hiện vào trước 16 tuần.
- Chọc hút dịch ối kinh điển: Thực hiện vào tuổi thai 17-18 tuần.
- Chọc hút dịch ối muộn: Thực hiện vào bất kỳ tuổi thai nào khi phát hiện ra bất thường hình thái trên siêu âm.
Hiện nay thủ thuật chọc ối đã được thực hiện ở nhiều cơ sở y tế tuyến tỉnh và tuyến trung ương. Kỹ thuật chọc ối cũng được áp dụng một cách dễ dàng và nhanh chóng với tỷ lệ thành công cao. Tuy nhiên trước khi quyết định thực hiện thủ thuật này, thai phụ nên cân nhắc kỹ về các rủi ro sau chọc ối có thể mang lại cho mẹ và em bé:
Chuột rút và chảy máu âm đạo, rò rỉ nước ối: Sau khi thực hiện chọc ối, một số người sẽ cảm thấy nhói hoặc tức nhẹ ở vùng chọc ối kèm theo hiện tượng chuột rút và chảy máu âm đạo, rò rỉ nước ối. Khi thấy hiện tượng này, gia đình cần theo dõi chặt chẽ và tham khảo ý kiến bác sĩ ngay.
Truyền nhiễm bệnh từ mẹ sang con: Vì chọc ối là thủ thuật xâm lấn với thao tác chọc kim qua thành bụng, tử cung của người mẹ lấy dịch ối xung quanh thai nhi nên có thể dẫn tới truyền nhiễm một số bệnh từ mẹ sang con: viêm gan C, HIV…
Nhiễm trùng tử cung: Chọc ối nếu không được thực hiện nghiêm ngặt có thể dẫn đến nhiễm trùng tử cung.
Nhạy cảm Rh dẫn đến các biến chứng: Trong trường hợp mẹ có Rh- và thai Rh+ khi thực hiện chọc ối có thể làm một số hồng cầu thai nhi len lỏi vào hệ tuần hoàn của người mẹ. Khi đó, hệ miễn dịch của mẹ sẽ sản sinh ra các kháng thể chống lại yếu tố Rh+ của bé như một phản ứng miễn dịch. Nếu may mắn, trong lần mang thai đầu em bé có thể sinh ra một cách an toàn nhưng trong lần mang thai tiếp theo, bé có thể sinh ra với hiện tượng thiếu máu, vàng da và tỷ lệ sảy thai là rất lớn.
Chấn thương do kim: Trong quá trình thực hiện thao tác chọc ối, em bé có thể di chuyển vào đường đi của kim. Khi đó đầu kim có thể gây ra những tổn thương trên thai nhi tùy vào vị trí tiếp xúc gây ra dị tật không đáng có.
Sảy thai: Hiện nay tay nghề của các y bác sĩ đã được nâng cao hơn trong quá trình thực hiện kỹ thuật chọc ối. Tuy nhiên, việc chọc ối cũng dẫn tới tỷ lệ sảy thai nhất định khoảng 1% (tức là trong số 100 ca chọc ối sẽ có thể có 1 ca sảy thai do chọc ối)
Một đứa trẻ sinh ra bị mắc hội chứng Down sẽ kém khả năng hay không có khả năng tự chăm sóc bản thân, cũng như không có khả năng lao động, tạo ra gánh nặng cho gia đình và xã hội, không chỉ về kinh tế mà còn về tâm lý, tình cảm.
Việc chẩn đoán sớm hội chứng Down trong thai kỳ sẽ giúp thai phụ và gia đình biết sớm về tình trạng sức khỏe của thai nhi và có lựa chọn đúng đắn, phù hợp với hoàn cảnh gia đình, giảm gánh nặng chi phí cho gia đình và xã hội, góp phần cải thiện chất lượng dân số.
Liên hiệp quốc đã lựa chọn ngày 21/3 là “Ngày thế giới nhận thức về hội chứng Down”. Hưởng ứng ngày này, nhiều quốc gia, tổ chức trên thế giới đã tổ chức nhiều hoạt động nhằm chia sẻ thông tin cũng như nhấn mạnh vai trò tích cực của những người có hội chứng Down đối với cộng đồng, xã hội.
Ngọc Phú
(Nguồn: Trung tâm Truyền thông - Giáo dục Sức khỏe Trung ương (Bộ Y tế); Wikipedia)
[content_more] =>
[meta_title] => Hội chứng Down và sự thật mẹ bầu nên biết
[meta_description] => Hội chứng Down và sự thật mẹ bầu nên biết
[meta_keyword] => Hội chứng Down và sự thật mẹ bầu nên biết
[thumbnail_alt] =>
[post_id] => 107
[category_id] => 16
)
[4] => stdClass Object
(
[id] => 106
[id_crawler] =>
[category_product] => NULL
[thumbnail] => y-kien-chuyen-gia/201811/ciencia.jpg
[album] =>
[url_video] =>
[is_status] => 1
[is_featured] => 0
[is_form] => 0
[displayed_time] => 2018-11-19
[program] => 0
[number] => 1
[viewed] => 0
[type] =>
[type_career] =>
[level] =>
[address] =>
[address_career] =>
[expiration_time] => 0000-00-00
[created_time] => 2019-09-07 12:01:15
[updated_time] => 2019-09-07 12:01:15
[files] =>
[salary] =>
[time] =>
[created_by] =>
[is_table_content] =>
[language_code] => vi
[slug] => phan-tich-adn-xac-dinh-huyet-thong-duoc-thuc-hien-nhu-the-nao
[title] => Phân tích ADN xác định huyết thống được thực hiện như thế nào?
[description] => Với nhiều trung tâm xét nghiệm ADN đi vào hoạt động như hiện nay thì có phải đều cho được kết quả giống nhau? Qúa trình xét nghiệm ADN được thực hiện như thế nào để cho ra được kết quả chính xác nhất?
[content] => Xét nghiệm ADN là gì?
Xét nghiệm ADN là phương pháp phân tích ADN (Axit DeoxyriboNucleic) có trong các tế bào của cơ thể để xác định mối quan hệ huyết thống hoặc tầm soát ung thư, chẩn đoán bệnh di truyền...
Việc thực hiện phân tích ADN cần được thực hiện trong phòng thí nghiệm, được đảm bảo đạt tiêu chuẩn về nhiệt độ, độ ẩm, đồng thời sử dụng hệ thống máy móc kỹ thuật theo tiêu chuẩn để tránh nhiễm mẫu hay phân tích sai, đảm bảo kết quả phân tích ADN cuối cùng phải được chính xác theo cơ sở khoa học.
Phân tích ADN xác định huyết thống được thực hiện như thế nào?
Xét nghiệm ADN được thực hiện lần lượt theo các bước: Thu mẫu - Phân tích - Trả kết quả, trong đó, tại mỗi bước đều phải được đảm bảo thực hiện theo quy trình nghiêm ngặt để tránh nhầm lẫn, nhiễm mẫu hay phân tích sai.
Bước 1: Thu mẫu xét nghiệm ADN
Mẫu sử dụng trong xét nghiệm ADN
Xét nghiệm ADN xác định mối quan hệ huyết thống: Mẫu tóc có chân, móng tay, móng chân, niêm mạc miệng, máu, cuống rốn khô, bàn chải đánh răng đã qua sử dụng...
Quản lý mẫu xét nghiệm
Đối với xét nghiệm ADN tự nguyện: Người muốn thực hiện xét nghiệm có thể tự thu mẫu tại nhà và gửi đến trung tâm xét nghiệm hoặc trung tâm xét nghiệm có thể hỗ trợ thu mẫu tại nhà hoặc quý khách hàng có thể đến trực tiếp trung tâm để được hỗ trợ làm thủ tục và thu mẫu. Trung tâm xét nghiệm không chịu trách nhiệm từ quá trình thu mẫu, nhầm lẫn mẫu khi quý khách hàng tự thu mẫu tại nhà, trung tâm xét nghiệm chỉ đảm bảo kết quả xét nghiệm ADN là chính xác với những mẫu mà trung tâm nhận được.
Đối với xét nghiệm ADN hành chính: Trung tâm xét nghiệm ADN chịu trách nhiệm thu mẫu và quản lý mẫu, đảm bảo không có sự nhầm lẫn mẫu, kết quả cuối cùng được đưa ra là hoàn toàn khách quan và chính xác.

Tại trung tâm xét nghiệm ADN GENTIS, quy trình thực hiện ADN được đảm bảo tiến hành theo một quá trình nghiêm ngặt, tất cả quá trình xét nghiệm ADN đều được thực hiện trong phòng xét nghiệm hiện đại, đạt chuẩn quốc tế, kết quả cuối cùng là hoàn toàn khách quan, không có bất kỳ một nhân tố nào có thể làm thay đổi kết quả xét nghiệm.
GENTIS không ngừng trang bị hệ thống thiết bị xét nghiệm hiện đại, được nhập khẩu hoàn toàn từ nước ngoài, chính vì vậy quá trình tách chiết ADN chính là bước đầu tiên khi bước vào thực hiện phân tích ADN đã được đảm bảo chính xác. Với hệ thống máy xét nghiệm từ Đức, Mỹ, Hàn Quốc,... cùng với việc sử dụng những hóa chất tách chiết của hãng AppliedBiosystems (Mỹ), Whatman (Mỹ), Qiagen (Đức)... GENTIS luôn đảm bảo cho ra được kết quả tách chiết tối ưu và chính xác nhất.
Kết thúc quá trình tách chiết ADN, kỹ thuật viên thực hiện phản ứng khuếch đại ADN bằng bộ kit của Mỹ cùng hệ thống máy khuếch đại gen (PCR machince) model 9700 PCR Gold block của hãng AppliedBiosystems (Mỹ). GENTIS sử dụng máy nhân bội - khuếch đại là toàn bộ máy PCR được thiết kế với block bằng vàng (Gold Block), giúp quá trình tăng giảm nhiệt diễn ra rất nhanh và có độ chính xác cao.

Sau quá trình khuếch đại, ADN được tiến hành phân tích gen tự động. Hiện nay GENTIS sử dụng hệ thống máy phân tích của hãng AppliedBiosystems (Mỹ) với công suất 16 mao quản để tiến hành điện di. Đây chính là hệ thống đang được các phòng thí nghiệm của Cục điều tra liên bang Mỹ (FBI – Federal Bureau of Investigation), Cảnh sát liên bang Úc (Australian Federal Police – AFP), phòng thí nghiệm phân tích ADN của Cảnh sát Hoàng Gia Anh (Forensic Science Service – FSS), Phòng thí nghiệm của Cảnh sát Singapore (Singapore Police Force – SPF) và Trung tâm Giám định ADN – Viện Khoa học Hình sự - Bộ Công an đang sử dụng phục vụ công tác truy nguyên, nhận dạng cá thể (Human Identification) và xác định huyết thống.
Các mẫu ADN sau khi phân tích được mã hóa bằng mã vạch, trước khi đưa ra kết luận cuối cùng cho cuộc xét nghiệm, Hội đồng khoa học của GENTIS kiểm tra lại một lần nữa.
Từ mã vạch của các mẫu phân tích được đưa ra từ phần mềm quản lý dữ liệu, hội đồng khoa học sẽ đưa ra những kết luận chính xác nhất về việc CÓ hay KHÔNG CÓ mối quan hệ huyết thống giữa những mẫu được thực hiện xét nghiệm hay kết luận về có hay không các bất thường, gen bất thường như thế nào, gây ra những hội chứng dị tật bẩm sinh gì hay có hay không nguy cơ ung thư do các đột biến gen gây ra. Phiếu kết quả phân tích ADN sẽ ghi đầy đủ những thông tin ADN của khách hàng.

Theo thống kê, những phụ nữ mang thai từ 35 tuổi trở lên và những người cha từ 50 tuổi trở lên có nguy cơ sinh con mắc những hội chứng dị tật bẩm sinh cao hơn những người ít tuổi hơn với tỉ lệ 1:400, ở khoảng 40 tuổi trở lên vào khoảng 1:100 và 1:30 với những thai phụ từ 45 tuổi trở lên.
Người cha, mẹ mang gen bệnh di truyền có biểu hiện hoặc khỏe mạnh nhưng trong gia đình có tiền sử dị tật bẩm sinh (trong gia đình có người mắc bệnh) thì khả năng người cha, người mẹ mang gen bệnh di truyền nhưng không biểu hiện là rất cao. Người mẹ có tiền sử sảy thai, thai lưu, sinh non, thai dị dạng,... thì một khả năng cao cho thấy người cha, người mẹ hoặc cả hai người có những bất thường về di truyền và có rất nhiều khả năng di truyền những bất thường đó cho thai nhi.

Trong quá trình mang thai, cơ thể người mẹ rất dễ chịu tác động bởi sự thay đổi của môi trường bên ngoài, dễ bị lây nhiễm khi tiếp xúc với người bệnh hoặc mắc bệnh khi sống trong môi trường mang dịch bệnh. Các bệnh truyền nhiễm cấp tính như viêm gan siêu vi, rubella, cúm,... gây ảnh hưởng trực tiếp đến chất lượng tinh trùng, trứng và phôi thai. Chính vì vậy, khả năng thai nhi mắc phải những hội chứng dị tật bẩm sinh tăng lên rất cao.
Những chất kích thích như rượu, bia, thuốc lá cùng những chất hóa học phải tiếp xúc hàng ngày như chất tẩy rửa, khói bụi ô nhiễm, có thể tác động trực tiếp đến sức khỏe của cả mẹ bầu và thai nhi. Khi người mẹ tiếp xúc với những chất độc hại hoặc sử dụng chất kích thích, những chất độc hại này có thể qua máu mẹ đi vào nhau thai làm ảnh hưởng đến quá trình phát triển của bé, phá vỡ và gây dị dạng về cấu trúc, chức năng các cơ quan non nớt mới hình thành của bé hay hơn thế nữa là gây sảy thai, thai lưu, sinh non,...
Sau khi gặp phải những rủi ro như sảy thai, sinh non, lưu thai, nếu người mẹ có thai (trong vòng dưới 6 tháng sau rủi ro) thì cơ thể người mẹ lúc này còn chưa phục hồi lại sức khỏe, do mới bị mất máu và tổn thương về cả thể chất lẫn tinh thần sẽ ảnh hưởng không tốt đến sự phát triển của thai nhi, đồng thời không đủ sức khỏe, thể lực để nuôi dưỡng thai nhi khỏe mạnh. Những trường hợp đặc biệt như thai lưu, sảy thai không rõ nguyên nhân sẽ khiến cho lần mang thai tiếp theo ngay sau đó cũng dễ gặp phải những điều không mong muốn.
Tâm trạng của người mẹ bầu tác động trực tiếp vào sự phát triển của thai nhi cả về thể chất và trí tuệ. Tâm trạng của con người được điều khiển bởi hệ thần kinh trung ương và hệ thống nội tiết. Tuyến thượng thận là hệ thống nội tiết liên quan đến sự thay đổi tâm trạng của con người. Đối với những mẹ bầu hay mệt mỏi, căng thẳng, hormone sản sinh từ tuyến thượng thận sẽ gây cản trở vai trò hòa hợp của lớp tế bào phôi mô của thai nhi. Nếu căng thẳng xảy ra trong thời kỳ 3 tháng đầu mang thai thì sẽ gây ra dị tật cho thai nhi như sứt môi hoặc hở hàm ếch.
Trong thời gian mang thai, các mẹ sẽ được bác sĩ chỉ định uống một số loại thuốc bổ nhằm bổ sung vitamin, khoáng chất, canxi, các dưỡng chất thiết yếu để thai nhi có thể phát triển một cách tốt nhất. Tuy nhiên, các mẹ bầu không nên tự ý sử dụng thuốc hay uống thuốc theo “kinh nghiệm” được truyền lại mà không có cơ sở khoa học. Đặc biệt, trong quá trình mang thai khi mẹ bầu mắc bệnh nào đó cần đến ngay cơ sở y tế gần nhất để được hướng dẫn sử dụng thuốc đúng quy định bởi một số loại thuốc ảnh hưởng đến sự phát triển của thai nhi rất nguy hiểm như: Thuốc chống động kinh, thuốc chống khối u ung thư, thuốc chứa estrogen,... Nếu mẹ bầu đang sử dụng thuốc để chữa bệnh tim, chống ung thư, thuốc thần kinh… thì không nên thụ thai bởi những loại thuốc này có thể gây rối loạn kinh nguyệt, ảnh hưởng đến sự rụng trứng cũng như chất lượng nguồn trứng.
Tia X được xác định có thể gây dị tật thai nhi nghiêm trọng. Tại các phòng chụp X – quang thường có khuyến cáo rất rõ ràng người đang mang thai không được vào phòng chụp X – quang. Các mẹ bầu nên lưu ý tuyệt đối không đến gần khu vực chụp X-quang đi đang mang thai.
Sức khỏe của cả người chồng và vợ đều có những tác động rất quan trọng trong quá trình thụ thai. Nếu ai trong hai người bị các bệnh truyền nhiễm cấp tính như viêm gan siêu vi, rubella, cúm… hoặc cả hai vợ chồng đều mắc bệnh thì đều có thể ảnh hưởng đến chất lượng tinh trùng cũng như trứng và phôi thai. Khi có ý định mang thai, hai vợ chồng nên thực hiện khám tiền sản để xác định tình trạng sức khỏe của mình để lựa chọn phương pháp thụ thai phù hợp.
Nhuộm tóc, sử dụng sơn móng tay, móng chân, nước hoa, các loại kem dưỡng da hóa học, chất tẩy rửa,... là những thói quen của không ít mẹ bầu tưởng chừng như bình thường nhưng lại có tác động xấu đến sự phát triển của thai nhi. Những chất hóa học đó có thể ảnh hưởng đến sức khỏe, trí tuệ của bé. Khi mang thai các mẹ bầu không nên sử dụng hay tiếp xúc thường xuyên với các chất hóa học để đảm bảo sự an toàn của thai nhi trong bụng.
Ngay từ khi có ý định mang thai, người mẹ nên tập trung chăm sóc sức khỏe, bổ sung những dưỡng chất cần thiết để thúc đẩy sự phát triển của thai nhi. Mọi phụ nữ trong độ tuổi sinh nở đều cần sử dụng acid folic (ít nhất 3 tháng trước khi mang thai) và trong suốt thai kỳ. thiếu hụt folate là một trong những nguyên nhân chính gây ra một loạt các dị tật bẩm sinh và dị tật ống thần kinh, phổ biến nhất trong số này là dị tật nứt đốt sống ở thai nhi. Những dị tật này xuất hiện rất sớm ngay từ đầu thai kỳ, thậm chí trước cả khi người mẹ có thể nhận biết mình mang thai để bổ sung folate kịp thời.
Khám tiền hôn nhân, tiền sản là lời khuyên của các bác sĩ chuyên khoa dành tặng các cặp vợ chồng trong độ tuổi sinh sản để xác định tình trạng sức khỏe của cả hai người, lựa chọn phương pháp thụ thai, phương pháp sinh phù hợp nhất với sức khỏe. Đồng thời, xác định người cha, mẹ có mang gen bệnh di truyền, bệnh truyền nhiễm nào hay không như: Viêm gan B, tan máu bẩm sinh,... Việc này cũng đặc biệt có ý nghĩa với những bà mẹ có bệnh mãn tính trước đó.
Không sử dụng chất kích thích, những thực phẩm không rõ nguồn gốc, nghiên cứu một chế độ dinh dưỡng khoa học và hợp lý ngay từ trước khi mang thai có thể giúp mẹ bầu có một cơ thể khỏe mạnh, sẵn sàng đến đón chào một thành viên mới cùng sống trong cơ thể của mình. Bên cạnh việc xây dựng một chế độ ăn uống khoa học, người mẹ cần bổ sung những dưỡng chất, vitamin cần thiết để cơ thể có sức đề kháng, không bệnh tật ngay từ trước khi mang thai
Virus HPV mặc dù không gây dị tật bẩm sinh thai nhi nhưng lại liên quan đến ung thư cổ tử cung, khả năng tăng nguy cơ sinh non khi mà não và phổi của thai nhi chưa phát triển hoàn thiện, và hậu quả là trẻ sinh ra có thể bị suy não và phổi nghiêm trọng. Có đến 80% phụ nữ mắc HPV ít nhất một lần trong đời. Chính vì vậy thực hiện xét nghiệm HPV - ADN là cần thiết để chuẩn bị sẵn sàng mang thai thuận lợi nhất.
Khó có thể xác định nguyên nhân của hầu hết các dị tật bẩm sinh, nhưng nếu hai vợ chồng đều khỏe mạnh nhưng gia đình của một hoặc cả hai vợ chồng từng có tiền sử dị tật cần thực hiện xét nghiệm chẩn đoán di truyền giúp phân tích nguy cơ dị tật có thể là một xét nghiệm hữu ích bởi nguy cơ một hoặc cả hai vợ chồng mang gen bệnh không biểu hiện là rất cao. Kết quả giám định di truyền có thể giúp các bác sĩ tư vấn về nguy cơ dị tật cho hai vợ chồng để đưa ra quyết định mang thai và sinh con.
Khi mang thai, mọi loại thuốc mẹ bầu sử dụng đều phải được chỉ định bởi bác sĩ chuyên khoa, kể cả những loại bệnh thông thường. Những loại thuốc mẹ bầu sử dụng trong khi mang thai cần được sử dụng đúng thời điểm, đúng liều lượng hoặc lựa chọn những phương pháp điều trị thay thế an toàn nhất cho thai nhi.
Sàng lọc trước sinh là lần khám thai cần và đủ trong quá trình mang thai. Để nhận biết được tình trạng sức khỏe của thai nhi nhằm có hướng chăm sóc thai nhi phù hợp nhất, mẹ bầu nên thực hiện sàng lọc cho thai nhi sớm nhất có thể. Hiện nay, phương pháp sàng lọc trước sinh không xâm lấn NIPT - illumina là phương pháp sàng lọc sớm và chính xác nhất lên tới 99,9%. Dựa vào kết quả sàng lọc NIPT - illumina, bác sĩ có thể đưa ra những lời khuyên, hướng chăm sóc thai nhi, giúp gia đình có định hướng chăm sóc thai nhi phù hợp nhất mà không cần phải thực hiện sàng lọc lại hay thực hiện thêm bất kỳ phương pháp sàng lọc nào khác.
Mẹ bầu cần xây dựng một lối sống lành mạnh, thường xuyên tập thể dục, bổ sung dinh dưỡng đầy đủ và kiến thức mang thai khoa học, tham gia những group tiền sản để có được một thai kỳ an toàn và thuận lợi, giảm thiểu tối đa những rủi ro không mong muốn. Tránh xa những chất kích thích, môi trường độc hại nhiễm phóng xạ hay mang dịch bệnh.


Có thể nói công nghệ ADN được coi như là chiếc chìa khóa để mở ra các bí ẩn giúp các nhà điều tra tìm ra thủ phạm trong các vụ án thông qua việc phân tích các dấu vết mẫu vật có nguồn gốc cơ thể người như: máu, lông tóc, tinh trùng, mô tế bào xương, răng…Mặt khác, cũng thông qua các mẫu vật trên để xác định mối quan hệ huyết thống cha con, họ hàng; xác định tung tích nạn nhân trong các vụ thảm họa, xác định hài cốt, thẻ ADN cá nhân.
Vậy, vấn đề đặt ra là độ tin cậy của phân tích ADN cũng như các bộ Kit dùng trong phân tích này như thế nào? Những nội dung sau đây sẽ giải đáp được những băn khoăn đó.
Xác định tần xuất alen:
Tần xuất alen được hiểu là tỉ lệ xuất hiện của một alen nào đó trong quần thể ở một locus gen trên nhiễm sắc thể. Hiện nay, trong phân tích ADN có đến hàng chục locus gen được chế tạo và sử dụng ở dạng bộ Kit thương phẩm bán trên thị trường thế giới; các locus gen này nằm trên các nhiễm sắc thể khác nhau từ cặp số 1 đến cặp số 23. Các nhà nghiên cứu ADN thường sử dụng những locus gen khác nhau trên những nhiễm sắc thể khác nhau để bảo đảm tính phân ly độc lập và tính đa hình cao. Các hãng sản xuất trên thế giới ngày nay thường cho ra đời các bộ Kit phân tích ADN bao gồm nhiều gen khác nhau; phổ biến là Kit của hãng Appliedbiosystem: Profiler plus 10 gen, Codis 13 gen, Identifiler GlobalFiler 24 gen và có thể mở rộng thêm số locus gen nhiều hơn nữa. Thêm vào đó trong mỗi locus gen lại có nhiều alen khác nhau (alen là những trạng thái biểu hiện khác nhau của một gen chiếm một vị trí xác định trên nhiễm sắc thể). Do vậy sẽ có rất nhiều đặc điểm khác nhau được phân tích.
Để xác định được tần xuất alen các nhà nghiên cứu về ADN đã phải nghiên cứu, khảo sát và công bố kết quả về một gen hoặc nhiều gen thuộc một số tộc người nhất định trên thế giới trong đó có cả tần xuất của các alen. Sở dĩ phải như vậy là để xác định tính đa hình của gen đó, sự khác biệt giữa tộc người này với tộc người khác; gen có bị đột biến hay không, tỷ lệ đột biến cao hay thấp…Để từ đó quyết định có nên sử dụng gen đó hay không. Muốn xác định được tần xuất alen cần phải thu thập được mẫu, mẫu này là của những người đã biết chính xác về nguồn gốc (tộc người, không có quan hệ họ hàng huyết thống với những mẫu khác, ở nhiều vùng địa lý khác nhau trong mỗi quốc gia). Số lượng các mẫu cần phân tích phải đủ lớn để bảo đảm được độ tin cậy cao, có nghĩa là kết quả phân tích thống kê tần số alen và kiểu gen phải phù hợp giữa mẫu nghiên cứu và quần thể lý thuyết, và sử dụng tiêu chuẩn Khi bình phương (Chi square) để thẩm định. Chỉ khi nào đạt được tiêu chuẩn này thì tần xuất alen đó mới có giá trị. Khi có được số liệu tần xuất alen của các gen thì tần xuất này được sử dụng để xác định độ tin cậy trong truy nguyên cá thể và xác định quan hệ huyết thống. Hiện nay chỉ bộ kit của hãng Appliedbiosystem là được viện khoa học hình sự xác định tần suất và áp dụng cho hệ gen người Việt để giám định ADN truy nguyên cá thể hay xác định huyết thống.
Số lượng locus gen:
Ngoài tần xuất alen, độ tin cậy còn phụ thuộc số lượng locus gen phân tích nhiều hay ít. Nếu số gen phân tích càng nhiều, tần xuất của một số alen nào đó lại thấp thì mẫu phân tích có độ chính xác rất cao, nghĩa là sẽ không có khả năng một mẫu ngẫu nhiên nào khác trong quần thể có thể trùng lặp. Các nhà khoa học trên thế giới cũng như một số cơ quan nghiên cứu ở Việt Nam cũng đã nghiên cứu và công bố kết quả về những vấn đề này, chẳng hạn tần suất phân bố các alen của người Kinh, Mường, H’ Mông, Khơ me…với một số bộ Kit khác nhau. Theo tính toán của các nhà khoa học chuyên phân tích về ADN cho thấy trong truy nguyên cá thể người nếu sử dụng bộ Kit Profiler Plus 10 locus gen thì độ tin cậy là: 1/1,48 x 1011, điều này có nghĩa là 148 tỷ người thì mới có khả năng có người thứ 2 trùng kiểu gen. Điều này không thể xảy ra, vì hiện nay dân số thế giới mới hơn 7,1 tỷ người (theo số liệu của Liên hợp quốc năm 2013). Tương tự như vậy, độ tin cậy của bộ Kit CODIS 13 locus gen là 1/5,02 x 1016, Identifiler 16 locus gen là 1/4,62 x 1019 , bộ KIT GlobalFiler 24 locus gen là 1/1,36 x 1028…

Kỹ thuật viên gentis đang vận hành máy phân tích ADN thế hệ mới Miseq có thể phân tích tới 200 locus gen.
Trong xác định quan hệ huyết thống cha (mẹ) - con chúng ta vẫn phải sử dụng tần xuất alen, nhưng phải dựa vào quy luật di truyền về khả cho nhận các alen của bố mẹ đối với con cái. Thông thường, một người con bao giờ cũng chỉ có một bố mẹ đẻ, và người mẹ là đương nhiên (ngoại trừ những người mang thai hộ). Vấn đề chính là xác định người bố đẻ đích thực. Trên cơ sở kiểu gen đã có của con, loại trừ các alen của mẹ thì cần xác định các alen bắt buộc của bố để tính độ tin cậy. Một người đàn ông bất kỳ nào mà thoả mãn điều kiện cho người con tất cả các alen thì người đó có khả năng sẽ là bố đẻ, nhưng phải tính xác suất để xem có người đàn ông nào khác cũng có khả năng như vậy không? Trên thực tế nếu phân tích ít locus gen (từ 10 -12) thậm trí đến 16 locus gen thì khả năng một vài người đàn ông khác nhau vẫn có khả năng cùng cho con những alen tương tự, nhưng người bố đẻ chỉ có một. Sở dĩ như vậy là do người bố chỉ truyền cho con một alen ở mỗi locus gen chứ không phải cả kiểu gen. Mặt khác, qua thực tế phân tích ADN tại Trung tâm GENTIS, số liệu thống kê cho thấy khi phân tích 16 locus gen đã phát hiện một số trường hợp hai người đàn ông hoàn toàn khác nhau cùng cho con các alen giống nhau. Hiện tượng này thường gặp khi có giao phối cận huyết, ở những vùng sâu xa, cư dân ít. Do vậy, để tránh sai sót, giải pháp trong phân tích ADN là phải phân tích mở rộng nhiều locus gen lên tới 24 hoặc 27 thậm trí nhiều hơn nữa. Ví dụ, độ tin cậy của bộ Kit 16 locus gen Identifiler là 99,9999%, của Kit 24 locus gen GlobalFiler là 99,99999998%. Trong những trường hợp đặc biệt người ta cần phải chạy tới 200 locus gene và giải trình tự đoạn gen đó, sau đó mới đưa ra được kết luận cuối cùng./.
Đại tá. Hà Quốc Khanh
Thành viên hội đồng khoa học công ty Gentis.
Nguyên Viện phó viện khoa học Hình sự - Bộ công an. Giám định viên tư pháp.
[content_more] => [meta_title] => Xác định độ tin cậy của phân tích ADN trong giám định hình sự và xác định huyết thống [meta_description] => Xác định độ tin cậy của phân tích ADN trong giám định hình sự và xác định huyết thống [meta_keyword] => xác định độ tin cậy của phân tích ADN trong giám định hình sự và xác định huyết thống [thumbnail_alt] => [post_id] => 100 [category_id] => 16 ) )